Записаться на консультацию:
Выберите что Вас интересует:
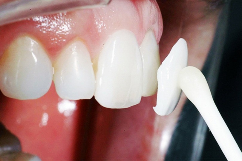
Виниры- тонкие керамические платинки, которые прочно приклепляются на на внешнюю поверхность зубов.
Виниры это лучший способ преобразить свою улыбку, скорректировать цвет и форму зубов с максимальной эстетикой.
Благодаря своим свойствам керамические виниры могут служит десятилетиями не стираясь и не меняя свой цвет.
1
Консультация
Выслушиваем ваши пожелания, делаем фото зубов и обсуждаем количество и дизайн виниров.
Состовляем план лечения с указанимаем стоимости.
Снимаеим слепки под макет будущих виниров.
2
Примерка дизайна улыбки и подготовка зубов
После утверждения дизайна улыбки, подготавливаем зубы, снимаем слепки и делаем временные виниры.
3
Установка виниров
Виниры надежно фиксируются к зубам прочным цементом становясь единым целым с зубом. После установки виниров, можно смело грызть морковку и яблоки.
Коронка- "защитный" колпачек , который одевается на зуб. Коронками покрывают зубы с большими пломбами и сильно разрушенные зубы, чтобы восстановить их и защитить от сколов и трещин.
Безметалловые коронки обладают максимальной эстетикой и выглядят абсолютно естественно.
Благодаря очень точному прилеганию безметалловых коронки десна воокруг них остается здоровой, а срок службы более 10 лет.
1
First
Lorem ipsum dolor sit amet, consectetur adipiscing elit, sed do eiusmod tempor incididunt ut labore et dolore magna aliqua.
2
Second
Lorem ipsum dolor sit amet, consectetur adipiscing elit, sed do eiusmod tempor incididunt ut labore et dolore magna aliqua.
Быстрый и недорогой способ исправить форму зуба и незначительно скорректировать цвет зуб.
Выполняется нанокомпозитным материалом, которые наносится поверх зуба без предварительной его шлифовки.
1
Консультация
Врач проводит осмотр, составляет план лечения и финансовый план. Фотографирование исходной ситуации, обсуждение с пациентом пожеланий по форме зубов.
2
Выполнение реставрации
Мы используем композитные материалы последнего поколения ведущих производителей. Тщательно шлифуем и полируем реставрации до естественного блеска.
3
Профилактические осмотры
Лучшее лечение это профилактика, именно поэтому каждые 6 месяцев мы приглашаем пациентов на бесплатные контрольные осмотры.
Специалист по составлению комплексных планов лечения при сложных случиях. Поможет восставить эстетику и функцию зубов.
Не нашли пример работы похожей на Ваш случай?
Хотите посмотреть пример работ в Вашем случае?
Пройдите консультацию у нашего стоматолога!
Оставьте свои контакты и мы с Вами свяжемся, чтобы ответить на все вопросы
Оставьте нам свои данные и мы свяжемся с Вами в ближайшее время
Настоящая Политика конфиденциальности персональных данных (далее – Политика конфиденциальности) действует в отношении всей информации, которую компания ООО "Белая линия +" (далее – компания), сайт которой расположен на доменном имени linedent.ru, может получить о Пользователе во время использования сайта, программ и продуктов компании.
ОПРЕДЕЛЕНИЕ ТЕРМИНОВ
1.1. В настоящей Политике конфиденциальности используются следующие термины:
1.1.2. «Персональные данные» — любая информация, относящаяся к прямо или косвенно определенному или определяемому физическому лицу (субъекту персональных данных).
1.1.3. «Обработка персональных данных» — любое действие (операция) или совокупность действий (операций), совершаемых с использованием средств автоматизации или без использования таких
средств с персональными данными, включая сбор, запись, систематизацию, накопление, хранение, уточнение (обновление, изменение), извлечение, использование, передачу (распространение,
предоставление, доступ), обезличивание, блокирование, удаление, уничтожение персональных данных.
1.1.4. «Конфиденциальность персональных данных» — обязательное для соблюдения требование не допускать их распространения без согласия субъекта персональных данных или наличия иного
законного основания.
1.1.5. «Пользователь сайта (далее ‑ Пользователь)» – лицо, имеющее доступ к Сайту, посредством сети Интернет.
ОБЩИЕ ПОЛОЖЕНИЯ
2.1. Обработка и обеспечение безопасности Данных осуществляется в соответствии с требованиями Конституции Российской Федерации, Закона, Трудового кодекса Российской Федерации,
подзаконных актов, других определяющих случаи и особенности обработки Данных федеральных законов Российской Федерации.
2.2. Использование Пользователем сайта linedent.ru означает согласие с настоящей Политикой конфиденциальности и условиями обработки персональных данных Пользователя.
2.3. В случае несогласия с условиями Политики конфиденциальности Пользователь должен прекратить использование сайта linedent.ru
2.4. Настоящая Политика конфиденциальности применяется только к сайту linedent.ru Компания не контролирует и не несет ответственность за сайты третьих лиц, на которые Пользователь
может перейти по ссылкам, доступным на его сайте.
2.5. Администрация сайта не проверяет достоверность персональных данных, предоставляемых Пользователем сайта.
ПРЕДМЕТ ПОЛИТИКИ КОНФИДЕНЦИАЛЬНОСТИ
3.1. Настоящая Политика конфиденциальности устанавливает обязательства Администрации сайта по неразглашению и обеспечению режима защиты конфиденциальности персональных данных, которые
Пользователь предоставляет по запросу Администрации сайта при регистрации на сайте или при оформлении заказа для приобретения Услуг.
3.2. Персональные данные, разрешённые к обработке в рамках настоящей Политики конфиденциальности, предоставляются Пользователем путём заполнения регистрационной формы на Сайте
linedent.ru и включают в себя следующую информацию:
3.2.1. фамилию, имя, отчество Пользователя;
3.2.2. контактный телефон Пользователя;
3.2.3. адрес электронной почты (e-mail).
3.3. Компания защищает Данные, которые автоматически передаются в процессе просмотра рекламных блоков и при посещении страниц, на которых установлен статистический скрипт системы
(«пиксель»):
IP адрес;
информация из cookies;
информация о браузере (или иной программе, которая осуществляет доступ к показу рекламы);
время доступа;
адрес страницы, на которой расположен рекламный блок;
реферер (адрес предыдущей страницы).
3.3.1. Отключение cookies может повлечь невозможность доступа к частям сайта, требующим авторизации.
3.3.2. Компания осуществляет сбор статистики об IP-адресах своих посетителей. Данная информация используется с целью выявления и решения технических проблем.
3.4. Любая иная персональная информация неоговоренная выше подлежит надежному хранению и нераспространению, за исключением случаев, предусмотренных в п.п. 5.2. и 5.3. настоящей
Политики конфиденциальности.
ЦЕЛИ СБОРА ПЕРСОНАЛЬНОЙ ИНФОРМАЦИИ ПОЛЬЗОВАТЕЛЯ
4.1. Персональные данные Пользователя Администрация сайта может использовать в целях:
4.1.1. Идентификации Пользователя, зарегистрированного на сайте, для оформления заказа и (или) заключения Договора.
4.1.2. Предоставления Пользователю доступа к персонализированным ресурсам Сайта.
4.1.3. Установления с Пользователем обратной связи, включая направление уведомлений, запросов, касающихся использования Сайта, оказания услуг, обработка запросов и заявок от
Пользователя.
4.1.4. Определения места нахождения Пользователя для обеспечения безопасности, предотвращения мошенничества.
4.1.5. Подтверждения достоверности и полноты персональных данных, предоставленных Пользователем.
4.1.6. Создания учетной записи, если Пользователь дал согласие на создание учетной записи.
4.1.7. Предоставления Пользователю эффективной клиентской и технической поддержки при возникновении проблем связанных с использованием Сайта.
4.1.8. Предоставления Пользователю с его согласия, информации о ценах, новостной рассылки и иных сведений.
4.1.9. Осуществления рекламной деятельности с согласия Пользователя.
4.1.10. Предоставления доступа Пользователю на сайты или сервисы партнеров с целью получения продуктов, обновлений и услуг.
СПОСОБЫ И СРОКИ ОБРАБОТКИ ПЕРСОНАЛЬНОЙ ИНФОРМАЦИИ
5.1. Обработка персональных данных Пользователя осуществляется без ограничения срока, любым законным способом, в том числе в информационных системах персональных данных с использованием
средств автоматизации или без использования таких средств.
5.2. Пользователь соглашается с тем, что Администрация сайта вправе передавать персональные данные третьим лицам, в частности, курьерским службам, организациями почтовой связи,
операторам электросвязи, исключительно в целях выполнения заказа Пользователя.
5.3. Персональные данные Пользователя могут быть переданы уполномоченным органам государственной власти Российской Федерации только по основаниям и в порядке, установленным
законодательством Российской Федерации.
5.4. При утрате или разглашении персональных данных Администрация сайта информирует Пользователя об утрате или разглашении персональных данных.
5.5. Администрация сайта принимает необходимые организационные и технические меры для защиты персональной информации Пользователя от неправомерного или случайного доступа, уничтожения,
изменения, блокирования, копирования, распространения, а также от иных неправомерных действий третьих лиц.
5.6. Администрация сайта совместно с Пользователем принимает все необходимые меры по предотвращению убытков или иных отрицательных последствий, вызванных утратой или разглашением
персональных данных Пользователя.
5.7. Администрация сайта заранее предупреждает о смене владельцев сайта, чтобы Пользователь мог удалить свой аккаунт и свои персональные данные.
ОБЯЗАТЕЛЬСТВА СТОРОН
6.1. Пользователь обязан:
6.1.1. Предоставить информацию о персональных данных, необходимую для пользования Сайтом.
6.1.2. Обновить, дополнить предоставленную информацию о персональных данных в случае изменения данной информации.
6.2. Администрация сайта обязана:
6.2.1. Использовать полученную информацию исключительно для целей, указанных в п. 4 настоящей Политики конфиденциальности.
6.2.2. Обеспечить хранение конфиденциальной информации в тайне, не разглашать без предварительного письменного разрешения Пользователя, а также не осуществлять продажу, обмен,
опубликование, либо разглашение иными возможными способами переданных персональных данных Пользователя, за исключением п.п. 5.2. и 5.3. настоящей Политики Конфиденциальности.
6.2.3. Принимать меры предосторожности для защиты конфиденциальности персональных данных Пользователя согласно порядку, обычно используемого для защиты такого рода информации в
существующем деловом обороте.
6.2.4. Осуществить блокирование персональных данных, относящихся к соответствующему Пользователю, с момента обращения или запроса Пользователя или его законного представителя либо
уполномоченного органа по защите прав субъектов персональных данных на период проверки, в случае выявления недостоверных персональных данных или неправомерных действий.
ДОПОЛНИТЕЛЬНЫЕ УСЛОВИЯ
7.1. Администрация сайта вправе вносить изменения в настоящую Политику конфиденциальности без согласия Пользователя.
7.2. Новая Политика конфиденциальности вступает в силу с момента ее размещения на Сайте, если иное не предусмотрено новой редакцией Политики конфиденциальности.
7.3. Все предложения или вопросы по настоящей Политике конфиденциальности следует сообщать по адресу linedent.ru@mail.ru
7.4. Действующая Политика конфиденциальности размещена на странице по адресу linedent.ru
Посредством заполнения настоящей формы Я даю свое согласие на совершение следующих действий с указанными в заявке персональными данными: сбор, запись, систематизацию, накопление, хранение, уточнение, извлечение, использование, передачу (включая трансграничную передачу), обезличивание, блокирование, удаление, уничтожение, предусматривая смешанную обработку моих персональных данных (неавтоматизированная – на бумажных носителях и автоматизированная – в информационных системах, на электронных носителях) с целью заключения со мной договора гражданского-правового характера на выполнение работ и/или оказания услуг, а также в любых других целях, прямо или косвенно связанных с заключением указанного выше договора и указания мне необходимых услуг в сфере информационных технологий.
Данное согласие может быть прекращено по моему письменному заявлению, содержание которого определяется частью 3 статьи 14 Федерального закона от 27 июля 2006 г. №152-ФЗ «О персональных данных»
Мы свяжемся с Вами в ближайшее время
Оставьте нам свои данные и мы свяжемся с Вами в ближайшее время
Оставьте нам свои данные и мы свяжемся с Вами в ближайшее время
Стоматологическая клиника Белая линия, совместно с АО «Кредит Европа Банк», предлагает своим пациентам воспользоваться беспроцентной рассрочкой! Вы можете начать лечение уже сейчас, а оплачивать его удобными платежами в течение года!
сумма от 10 000 до 500 000 рублей
без первоначального взноса
от 6 до 12 месяцев
без процентов
Основные требования для получения рассрочки:
Документы, необходимые для получения рассрочки:
Решение по рассрочке принимается Банком в течение 30 минут.
За более подробной информацией о рассрочки обращайтесь к сотрудникам Клиники
Лицензии
Оставьте нам свои данные и мы свяжемся с Вами в ближайшее время
Оставьте нам свои данные и мы свяжемся с Вами в ближайшее время
Оставьте нам свои данные и мы свяжемся с Вами в ближайшее время
Оставьте нам свои данные и мы свяжемся с Вами в ближайшее время